رمزگشایی از تغییرات مغز هنگام سردردهای میگرنی

برای اولین بار، در یک مطالعه جدید، فضای بزرگ شده اطراف عروقی در مغز افرادی که دچار میگرن میشوند، شناسایی شده است.
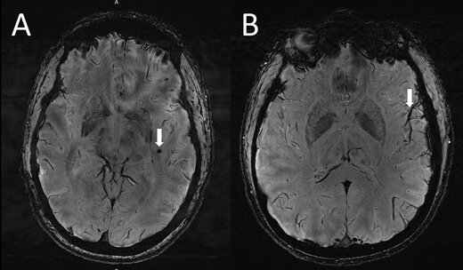
غزال زیاری: طبق گفته ویلسون ژو، کاندیدای دکترای پزشکی در دانشگاه کک کالیفورنیای جنوبی در لسآنجلس درباره مطالعه اخیرشان:« در افرادی که از میگرن مزمن (با میانگین بیش از ۱۵ بار میگرن در ماه) و میگرن اپیزودیک بدون هاله (با میانگین بین صفر تا ۱۴ سردرد در ماه) رنج میبرند، تغییرات قابل توجهی در فضاهای اطراف عروق ناحیهای مغز افراد به نام مرکز سِمی اوال (بخش مرکزی ماده سفید مغز) رویت شده است. این در حالی است که تا پیش از این، هرگز چنین تغییراتی رویت و گزارش نشده بود.»
فضاهای اطراف عروقی، فضاهایی در اطراف رگهای خونی مغز هستند که مملو از مایع خاصی هستند. این فضاها اکثرا در بین بخش غدههای قاعدهای و ماده سفید مغز و در امتداد اعصاب شبکه بینایی قرار دارند. فضاهای اطراف عروقی تحت تاثیر عوامل متعدی از جمله ناهنجاریها در سد خونی مغزی و التهابها قرار میگیرند. در این بین، بزرگ شدن فضاهای اطراف عروقی ممکن است نشانهای از بیماری زمینهای عروق کوچک باشند.
دکتر ژو در این باره گفته:«فضاهای بین عروقی بخشی از سیستم پاکسازی مایع در مغز هستند و بررسی نحوه مشارکت این فضاها در بروز میگرن، به ما کمک خواهد کرد تا بهتر پیچیدگیهای بروز میگرن را درک کنیم.»
ژو و همکارانش، به دنبال آن هستند تا ارتباط میان میگرن وبزرگ شدن فضاهای اطراف عروقی را درک کند. این محققان با بهرهگیری از MRI ۷T با وضوح فوقالعاده بالا، به مقایسه ساختاری تغییرات میکروواسکولار (رگهای خونی بسیار ریز) در انواع مختلف میگرن پرداختند. ژو در این رابطه گفت:« این اولین بررسی با استفاده از MRI با وضوح فوقالعاده بالاست که در آن به بررسی تغییرات میکرو واسکولار مغز در پی بروز میگرن، بهویژه در فضاهای اطراف عروقی پرداخته میشود. از آنجا که MRI ۷T قادر است تا تصاویری با وضوح و با کیفیت به مراتب بالاتری نسبت به دیگر دستگاههای MRI از مغز ارائه دهد، میتوان از این دستگاه برای تشخیص تغییرات جزئیتر و ریزتری که بعد از بروز میگرن در بافت مغز ایجاد میشود، بهره برد.»

شرکتکنندگان در این مطالعه، شامل ۱۰ نفر با میگرن مزمن و ۱۰ نفر با میگرن اپیزودیک بدون هاله و ۵ فرد سالم بودند. تمام این افراد، بین ۲۵ تا ۶۰ سال سن داشتند و افراد مبتلا به اختلالات شناختی آشکار، تومور مغزی، سابقه جراحی جمجمه، موارد منع شده از انجام MRI و مبتلا به بیماری کلاستروفوبیا از این مطالعه کنار گذاشته شدند.
محققان، در جریان این بررسی فضاهای بزرگ شده اطراف عروقی را در سنتروم سِمی اوال (بخش مرکزی ماده سفید مغز) و غدههای قاعدهای را اندازهگیری کردند. افزایش و شدت ماده سفید مغز (ضایعهای که در MRI به روشنی مشخص است) با بهرهگیری از مقایس Fazekas اندازهگیری شد. خونریزیهای میکروبلید مغزی (خونریزیهای بسیار ریز در مغز) با خونریزیهای میکروبلید در آناتومی بدن با مقیاس رتبهبندی، طبقهبندی شدند. محققان در عین حال دادههای بالینی افراد از جمله دوره بیماری و شدت آن، نشانهها و علائم در هنگام انجام اسکن و وجود هاله و منطقه سردرد فرد را نیز جمعآوری کردند.
تجزیه و تحلیلهای آماری حکایت از آن داشت که تعداد فضاهای بزرگ شده اطراف عروقی در مرکز سِمی اوال مغز افراد، در بیمارانی که میگرن داشتند، به مراتب بیشتر از افراد سالم بود. به علاوه کمیت فضاهای بزرگ شده اطراف عروقی در مرکز سِمی اوال با عمق ماده سفید، از نظر شدت جدی بودن در بیماران میگرنی در ارتباط است.
ژو ادامه داد:« ما در تحقیقات درباره میگرن مزمن و میگرن اپیزودیک بدون هاله به این نتیجه رسیدیم که در هر دو دسته افراد مبتلا به این نوع میگرنها، فضاهای اطراف عروقی در مرکز سِمی اوال بزرگتر بودند. اگرچه ما هیچ تغییر قابل توجهی در شدت ضایعات بخش سفید مغز در افراد مبتلا به میگرن و افراد بدون میگرن پیدا نکردیم، ولی این ضایعات بخش سفید مغز به طور قابل توجهی با وجود فضاهای بزرگ شده اطراف عروقی مرتبط بودند. این بدان معناست که تغییرات در فضای اطراف عروقی، ممکن است منجر به افزایش ضایعات بیشتری در بخش سفید مغز شوند.»
فرضیه این محققان این است که تغییرات قابل توجه در فضاهای اطراف عروقی در بیماران مبتلا به میگرن، در مقایسه با افراد سالم، ممکن است نشانهای از اختلال گلیمفاتیک در مغز آنها باشد. سیستم گلیمفاتیک، در حقیقت نوعی سیستم پاکسازی مواد زاید است که از کانالهای اطراف عروقی برای کمک به حذف پروتئینها و متابولیتهای محلول از سیستم عصبی مرکزی بدن بهره میبرد.
البته اینکه آیا این تغییرات بر رشد میگرن تاثیرگذار هستند و یا ناشی از بروز میگرن هستند، هنوز مشخص نیست و تحقیقات باید بر روی جامعه آماری بیشتری انجام شده و در عین حال، افراد مورد مطالعه برای مدت طولانیتری مورد ارزیابی و بررسی قرار بگیرند تا بتوان ارتباط میان تغییرات ساختاری و ایجاد و نوع میگرن را بهتر دریافت.
ژو در ادامه گفت:«نتیجه تحقیقات ما ممکن است بر تحقیقاتی در ابعاد بزرگتر در آینده تاثیرگذار باشد تا بدینترتیب بتوان در مورد اینکه چطور تغییرات در رگهای میکروسکوپیک مغز و همچنین نحوه خونرسانی، چطور بر انواع میگرن تاثیرگذار است به نتایجی رسید. در نهایت این می تواند به ما کمک کند تا به راهکارهای جدید و مشخصی برای تشخیص و درمان میگرن برسیم.»
منبع: سایتکدیلی
۵۸۵۸


